100 S. Americas Ave. El Paso TX 79907

915-858-LUNA(5862)

Comprehensive Dental Care For Your Family

El Paso Texas

Welcome to Luna Dental Care, where comfort meets exceptional dental care. Our patient-centered approach ensures your visit is relaxed and enjoyable. From the moment you arrive, our team is dedicated to your comfort and satisfaction. With us, you'll not only achieve a radiant smile but also long-lasting oral health. Experience dentistry differently at Luna Dental Care.

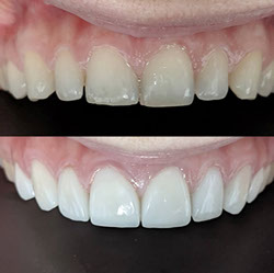
caption
caption
caption
caption
caption
caption
caption
caption
caption
caption
caption
caption
caption
caption
caption
caption

Our dental practice specializes in providing affordable, high-quality dentistry to your entire family, as well as educating everyone on the finer points of excellent long-term dental health. We offer a broad range of custom dental care, including children’s dentistry,  periodontal care, and dental implant placement, to make sure your family is well taken care of, regardless of their unique dental needs.

Emergency Dental Care

Preventive Dental Care